运动技能水平与躯体感觉输入对运动表象的影响
运动表象是指在无外部动作输出的情况下对简单或复杂动作进行心理排练或模仿的神经心理过程(Lotze & Cohen, 2006)。作为一种学习和提高技能水平的有效方法,运动表象被广泛运用于运动员和音乐家的技能训练(Cocks, Moulton, Luu, & Cil,2014; Keller, 2012),及脑卒中患者的运动康复中(de Vries, Tepper, Otten, & Mulder, 2011)。
然而,在运动表象过程中,运动技能水平的差异是否会导致行为学表现和神经生理学特征的差异还不清楚。本研究的第一个假设是与新手相比,运动专家具有执行效果更好的运动表象。我们将通过考察运动表象与实际执行的时间一致性(外在行为表现)和镜像神经系统的激活程度(内在神经机制)两个方面来验证此假设。本研究的第二个假设是在器械依赖的运动项目中,运动专家持器械进行运动表象较不持器械更容易,表现为镜像神经系统激活程度的下降。我们将通过运动表象问卷的主观评分、镜像神经系统激活程度变化以及二者之间的相关关系来验证此假设。
本研究采用2 × 2的混合设计,组别(篮球运动员和新手)为被试间变量,持球条件(持球和不持球)为被试内变量。实验任务是要求被试采用动觉表象先想象拍三下球,然后从5个不同的角度投篮。5个角度分别为:标准的投篮点和以篮筐为中点、中线两侧对称45°和90°的4个点。5个点与篮筐的距离相等(见图1A)。表象角度的设置不作为实验条件,主要用于避免单一角度表象带来的学习效应。为考察躯体感觉输入对运动表象的影响,表象分为持球和不持球两个条件进行。


图2 运动表象的组间差异

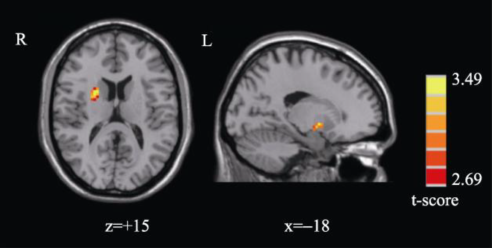
图3 持球条件下激活较大脑区
研究结果包括两个方面:运动表象过程中运动技能水平越高,时间一致性越好,镜像神经系统激活越大;躯体感觉输入调节不同运动技能水平被试运动表象过程中镜像神经系统的激活程度,表现为有躯体感觉输入的情况下,运动员镜像神经系统激活程度较低。
该研究已在心理学权威期刊《心理学报》上发表。上海体育公司3044AM永利博士研究生张兰兰为第一作者,通讯作者为上海体育公司3044AM永利张剑教授。
论文信息:
张兰兰,沈诚,朱桦,李雪佩,戴雯,吴殷&张剑.(2017).运动技能水平与躯体感觉输入对运动表象的影响.心理学报(03),307-316.